Δόντια σε Μία Μέρα - Ο Εμφυτευματολόγος Σας Στο Αιγάλεω

Δωρεάν Συμβουλευτική για Εμφυτεύματα & Δεύτερη Γνώμη

Ας ξεκινήσουμε με μία δωρεάν συμβουλευτική για να δούμε αν ο Δρ. Αναστασιάδης μπορεί να σας βοηθήσει να πετύχετε το τέλειο χαμόγελο που ονειρεύεστε. Θα λάβετε όλες τις απαραίτητες πληροφορίες, ώστε να αποφασίσετε για το επόμενο βήμα στην άνεση του σπιτιού σας

Μια Μόνιμη Λύση για Ένα ή Περισσότερα Χαμένα Δόντια

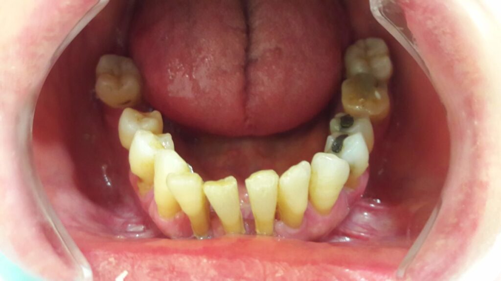
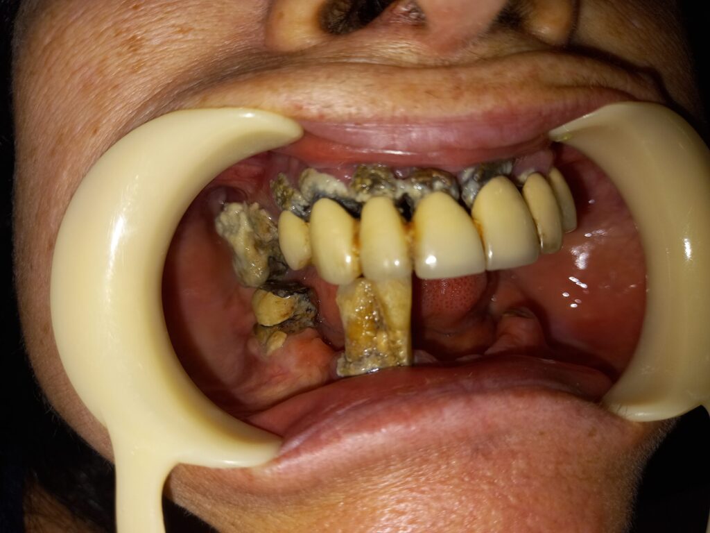
Όλοι γνωρίζουμε ότι όταν λείπουν δόντια, η υγεία του στόματος διατρέχει κίνδυνο, όπως η απώλεια οστού της γνάθου, αλλαγές στη δομή του προσώπου και πρόωρη γήρανση. Τώρα, με την τεχνική της άμεσης φόρτισης από τον Δρ. Αναστασιάδη, θα έχετε ένα υπέροχο, φωτεινό χαμόγελο σε μία μέρα.

Ωστόσο, θα μπορούσατε να απευθυνθείτε σε οποιονδήποτε οδοντίατρο για τα οδοντικά εμφυτεύματα, αλλά το μόνο που θα βρείτε είναι η παραδοσιακή μέθοδος, η οποία απαιτεί 3 μήνες ανάρρωσης. Αν προτιμάτε να περιμένετε 89 μέρες παραπάνω για να αποκτήσετε λειτουργικά δόντια, τότε αυτή η λύση δεν είναι για εσάς.

Επιλογές εμφυτευμάτων

Επιλογές εμφυτευμάτων

Μοναδικό Δόντι

Το εμφύτευμα λειτουργεί ως φυσική ρίζα, ενώ το προσωρινό δόντι τοποθετείται αμέσως, δίνοντάς σας τη δυνατότητα να απολαμβάνετε τα φαγητά σας από την πρώτη κιόλας μέρα.

Πολλαπλά Δόντια

Όταν λείπουν πολλά δόντια στη σειρά, χρησιμοποιείται μια γέφυρα που στηρίζεται σε λίγα εμφυτεύματα, προσφέροντάς σας μία λύση που διαρκεί μια ζωή.

All-on-4 ή All-on-6

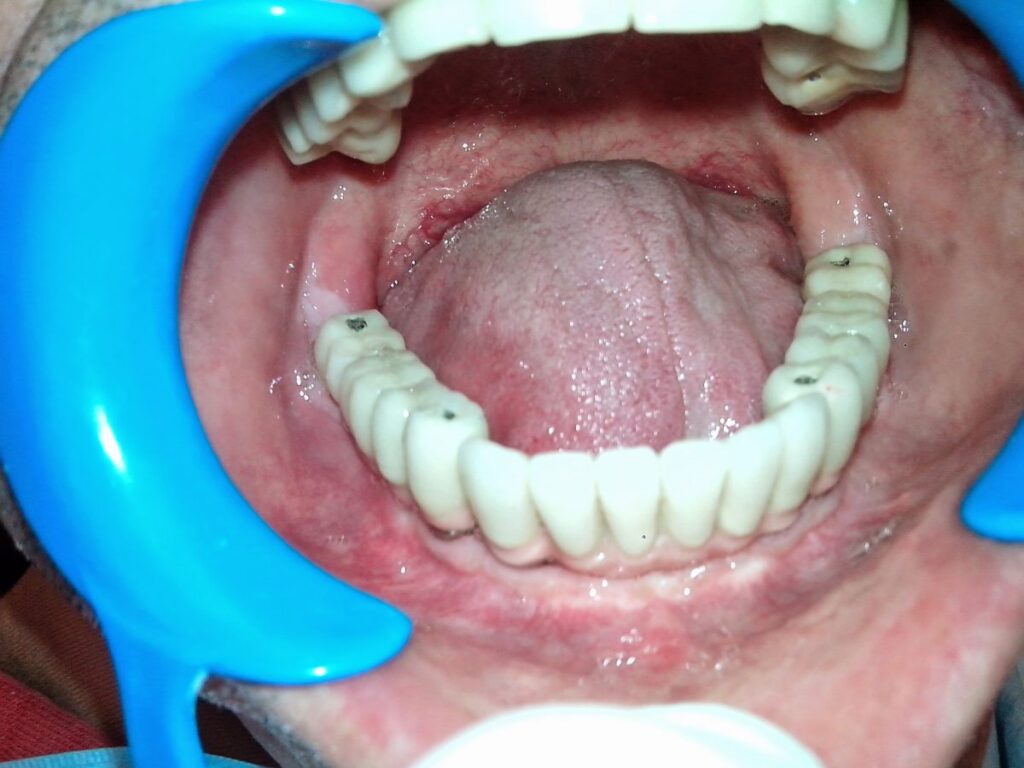
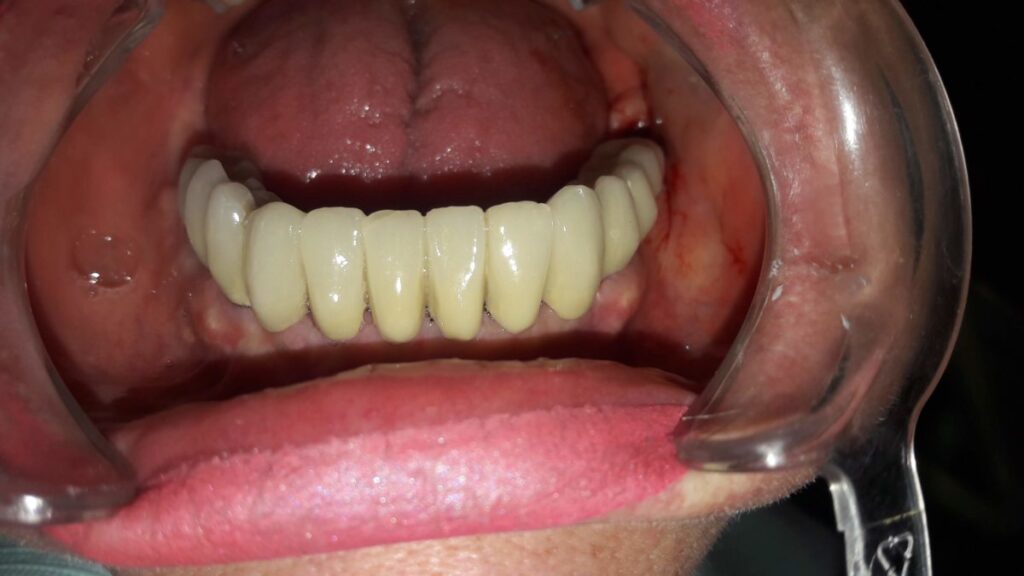
Για ασθενείς που τους λείπουν τα περισσότερα ή όλα τα δόντια, με τη χρήση 4-6 εμφυτευμάτων, στηρίζεται μια μόνιμη γέφυρα την ίδια μέρα, χαρίζοντάς σας ένα φυσικό χαμόγελο, σαν να μην χάσατε ποτέ τα δόντια σας.

Μαρία, 55

Μαρία, 55

Από τον Φόβο στην Αυτοπεποίθηση

“Δεν πίστευα ότι θα ήταν τόσο ανώδυνο – όλη η διαδικασία κύλησε πιο εύκολα από όσο περίμενα!”

Η Μαρία, 55 ετών, συνήθιζε να κρύβει το χαμόγελό της, νιώθοντας ότι όλοι παρατηρούσαν τα δόντια που της έλειπαν. Σήμερα, όμως, όλα στη ζωή της συνοδεύονται από ένα φωτεινό χαμόγελο.

Κλείστε μία Δωρεάν Συμβουλευτική

Αναβαθμίστε την ποιότητα ζωής σας με ένα υπέροχο, φυσικό χαμόγελο που διαρκεί για πάντα. Κλείστε σήμερα μια Δωρεάν Συμβουλευτική για να μάθετε περισσότερα για τα εμφυτεύματά μας και κάντε το πρώτο βήμα προς το χαμόγελο που ονειρεύεστε.

Καλέστε μας  21 0544 4714 

ή

Ευχαριστημένα χαμόγελα

Γιατί να Επιλέξετε Εμάς για τα Οδοντικά Εμφυτεύματα

  • Οικονομικά: Προσφέρουμε πληθώρα επιλογών εμφυτευμάτων και ευέλικτες μηνιαίες δόσεις, για να κάνουμε τη διαδικασία προσιτή σε όλους, χωρίς να μειώσουμε την ποιότητα.

     

  • Φυσικό Αποτέλεσμα: Κάθε εμφύτευμα είναι σχεδιασμένο να μοιάζει και να συμπεριφέρεται όπως ένα φυσικό δόντι.

     

  • Βελτιωμένη Λειτουργικότητα: Τα εμφυτεύματα σας επιτρέπουν να τρώτε και να μιλάτε με απόλυτη άνεση, όπως θα κάνατε με τα φυσικά σας δόντια.

     

  • Μακροχρόνια Υγεία της Γνάθου: Αποτρέπουν την απώλεια πυκνότητας της γνάθου και τις αλλαγές στη δομή του προσώπου που συχνά συνοδεύουν τη γήρανση.

     

  • Διαρκούν για πάντα: Τα εμφυτεύματά μας, με την κατάλληλη φροντίδα, είναι σχεδιασμένα να διαρκούν μια ζωή.

     

  • Λειτουργικά Δόντια σε Μία Μέρα: Χάρη στην τεχνολογία άμεσης φόρτισης, αποκτάτε λειτουργικά δόντια σε μόλις μία επίσκεψη.

Ιστορίες Ασθενών Μας

Γιάννης, 55

Γιάννης, 55

Πριν: Συνεχής πόνος κάθε φορά που έτρωγα.

Μετά: Σταθερά, φυσικά δόντια που με κάνουν να απολαμβάνω και πάλι τα αγαπημένα μου φαγητά χωρίς κανένα άγχος. Τα εμφυτεύματα άλλαξαν τη ζωή μου ολοκληρωτικά!

Θεοδώρα, 53

Θεοδώρα, 53

Πριν:Πόνος και αμηχανία κάθε φορά που χαμογελούσα.

Μετά: Μπορώ να φάω άφοβα και να δείξω το χαμόγελό μου χωρίς ντροπή. Δεν πόνεσα καθόλου! Μία από τις καλύτερες αποφάσεις που έχω πάρει!

Όλα όσα θέλετε να ξέρετε για τα οδοντικά εμφυτεύματα

Πώς είναι η ανάρρωση μετά την τοποθέτηση εμφυτεύματος;

Τις πρώτες 1-2 μέρες μπορεί να νιώσετε ελαφρύ πόνο ή ευαισθησία, αλλά συνήθως από τη δεύτερη μέρα αισθάνεστε καλύτερα, με ένα απλό παυσίπονο.

Η διαδικασία είναι ανώδυνη όταν γίνεται από εξειδικευμένο εμφυτευματολόγο, με σύγχρονες τεχνικές και ακρίβεια. Διαρκεί 30-60 λεπτά και οι περισσότεροι ασθενείς τη βρίσκουν “πιο εύκολη” απ’ όσο περίμεναν.

Οι μόνιμες στεφάνες μπορούν να τοποθετηθούν συνήθως 3-4 μήνες μετά την τοποθέτηση του εμφυτεύματος. Αυτός ο χρόνος επιτρέπει στο εμφύτευμα να ενσωματωθεί πλήρως με το οστό.

Κατά τη διάρκεια της αναμονής, τοποθετούμε μία προσωρινή στεφάνη πάνω στο εμφύτευμα, χαρίζοντάς σας άμεση λειτουργικότητα. Αυτό προστατεύει την περιοχή και διασφαλίζει τη σωστή επούλωση.

Ο υποψήφιος για άμεση φόρτιση πρέπει να πληροί τα εξής κριτήρια:

  • Καλή οστική ποιότητα: Υγιές και αρκετά δυνατό οστό.

  • Επαρκής ποσότητα οστού: Αρκετό οστό στην περιοχή τοποθέτησης.

  • Απουσία φλεγμονής ή λοίμωξης: Δεν πρέπει να υπάρχει ενεργή λοίμωξη στη στοματική κοιλότητα.

  • Γενική υγεία: Καλή συνολική και στοματική υγεία, χωρίς σοβαρά προβλήματα.

Κατά τη δωρεάν συμβουλευτική, ο Δρ. Αναστασιάδης θα αξιολογήσει την περίπτωσή σας και θα σας ενημερώσει αν η μέθοδος άμεσης φόρτισης είναι κατάλληλη για εσάς.

Καλό θα είναι να αποφύγετε σκληρές ή κολλώδεις τροφές για λίγες εβδομάδες. Στη συνέχεια, μπορείτε να τρώτε κανονικά, αποφεύγοντας το δάγκωμα απευθείας στη προσωρινή στεφάνη. Όταν τοποθετηθεί η μόνιμη στεφανή, μπορείτε να απολαύσετε όλα τα φαγητά χωρίς περιορισμούς!

Μπορεί να σας φανεί ασυνήθιστο την πρώτη εβδομάδα, αλλά θα το συνηθίσετε γρήγορα. Στην καθημερινότητά σας, δεν θα παρατηρείτε διαφορά, εκτός ίσως από μια ελαφρώς μειωμένη αίσθηση πίεσης όταν δαγκώνετε κάτι πολύ σκληρό, σε σχέση με τα φυσικά δόντια.

Το κόστος εξαρτάται από διάφορους παράγοντες, οπότε απαιτείται μια αρχική αξιολόγηση της κατάστασής σας για μια ακριβή προσφορά. Εγγυόμαστε υψηλή ποιότητα, ανταγωνιστικές τιμές και ευέλικτες πληρωμές με μηνιαίες δόσεις. Τα εμφυτεύματα είναι μια επένδυση που αξίζει, καθώς εξοικονομείτε χρήματα μακροπρόθεσμα και βελτιώνετε την ποιότητα ζωής σας. Επικοινωνήστε μαζί μας για περισσότερες πληροφορίες!

Δρ. Πάνος Αναστασιάδης

Δρ. Πάνος Αναστασιάδης

Με 24 χρόνια εμπειρίας στην εμφυτευματολογία και ως μέλος της International Team for Implantology, ο Δρ. Αναστασιάδης αφοσιώνεται στην επαναφορά της λειτουργικότητας και της αισθητικής του χαμόγελου για τους ασθενείς του στην Αθήνα.

Προσεγγίζει κάθε περίπτωση ξεχωριστά, εξασφαλίζοντας ότι κάθε ασθενής αισθάνεται άνεση και φροντίδα σε κάθε του επίσκεψη.

Έχει βοηθήσει εκατοντάδες ανθρώπους να αναβαθμίσουν την ποιότητα ζωής τους, χαρίζοντάς τους ένα ολοκληρωμένο και υπέροχο χαμόγελο.

Μην το αναβάλλετε άλλο

Μια νέα ποιότητα ζωής σας περιμένει!

Κλείστε μία δωρεάν συμβουλευτική & δεύτερη γνώμη αυτην την εβδομάδα για να λάβετε όλες τις πληροφορίες που χρειάζεστε πριν πάρετε την τελική σας απόφαση.


Ξεκινήστε σήμερα το πρώτο βήμα προς μια ζωή γεμάτη χαμόγελα!

Συμπληρώστε την φόρμα και θα σας πάρουμε τηλέφωνο για να κλείσουμε την Δωρεάν Συμβουλευτική σας

*Διαθέτουμε εγκεκριμένη συσκευή POS

Δωρεάν συμβουλευτική